加入者限定だから安心! いつでも、だれでも、かんたんに!

  • easy my webとは?
  • ヘルプ
  • お問合せ
ツイート
easy my web
SCN-NET
  • 日本ネットワークサービス
  • ケーブルテレビ
  • ケーブルインターネット
  • トップ Home
  • テーマ Theme
  • 個人ブログ UserBlog
  • 商店ブログ ShopBlog
  • ランキング Ranking
  • 新着記事 New!
地域のロコミ情報潜載! easy park

キーワード検索

キーワード検索 エリア検索

テーマ

その他

らいおんてっちゃんの部屋

ChristmasFantasy♪ in我が家(らいおんてっちゃんの部屋)

2007/11/20 23:56

超久々の更新です。 あまりにも久々なのでいろいろ変更しましたよん。 まず...

さすらう雨のかかし

仕事の周辺(さすらう雨のかかし)

2007/11/20 21:51

私は昔国鉄と呼ばれた会社に3年前より勤めています。技術系の仕事で夜間勤務が月に数...

ツーと・ぷちツーと・たまに音楽日記

デ〜アゴ〜スティ〜ニ♪♪2(ツーと・ぷちツーと・たまに音楽日記)

2007/11/20 21:26

来ましたYO!! 届きましたYO!! 定期購読を申し込んだ『週刊ハー...

hitomiのひとりごと

冬のよる(hitomiのひとりごと)

2007/11/20 20:52

ここ最近急に寒くなってきたよね。 あたしね冬って嫌いなんだ。 だってすぐに暗...

あるらショッピング スタッフブログ

今年もやります!!(あるらショッピング スタッフブログ)

2007/11/20 16:50

こんにちは! カタログ担当のメミです。 前回、お知らせしましたカタログ最...

たれちゃった生活

頭でっかち尻もデカイ(たれちゃった生活)

2007/11/20 15:04

「女性の品格」と言う本が売れている。 TVでも「女性の品格」のチェックをしてい...

医学大鑑

講演4(医学大鑑)

2007/11/20 06:50

次は足です。こちらが正常な状態ですが、 動脈が極端に硬くなるとこのようにレント...

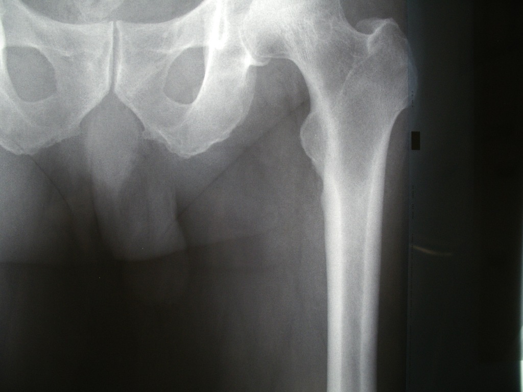
医学大鑑

講演3(医学大鑑)

2007/11/20 06:41

次は太ももの血管です。正常ですとこのように骨だけが白く写るわけですが、動脈が極端...

ギャラリー シュオン

冬を着る遊布工房の洋服(ギャラリー シュオン)

2007/11/19 22:13

2007年11月22日(木)〜28日(水) 11:00am〜6:30pm会期中...

M−Story

車検(M−Story)

2007/11/19 22:13

11/17日我が家のセカンドカーの車検に出した。 早いものでもう、3年が経った...

☆☆☆sevensea☆☆☆

思ってたより全然立派!そこらのお祭り...(☆☆☆sevensea☆☆☆)

2007/11/19 21:54

昨日は娘の通う小学校で、『キッズカンパニー』というイベントが行われました。この...

国母野球スポーツ少年団

予定(国母野球スポーツ少年団)

2007/11/19 21:39

11月の予定   3日 :IBA秋季低学年山梨大会 4日 :市川...

〜La ROSE de Versailles〜

なりきり鑑識官小姫参上。(〜La ROSE de Versailles〜)

2007/11/19 20:58

金曜の帰りの出来事です。 朝、通勤途中で発見したのですが、すっかり忘れて帰...

あるらショッピング スタッフブログ

気になる臭いを解決!QB薬用デオドラ...(あるらショッピング スタッフブログ)

2007/11/19 16:46

こんにちは♪ WEB SHOP 担当のチロルです。 今日は「QB薬用デオ...

たれちゃった生活

選ばれし幸運なあたし(たれちゃった生活)

2007/11/19 15:59

  長男はもうすぐ修学旅行 あたしが高校生の時、修学旅行は九州...

国母野球スポーツ少年団

新たな歴史を切り開いた国母球児2007(国母野球スポーツ少年団)

2007/11/19 13:49

2007年の6年生を中心にした国母の熱い戦いは終わりました。いちやま杯優勝から始...

国母野球スポーツ少年団

Untitled(国母野球スポーツ少年団)

2007/11/19 13:01

平成19年度の6年生による南ブロック卒団式が快晴の小瀬球場で盛大に行われました。...

〜La ROSE de Versailles〜

私彼氏彼女の事情。(〜La ROSE de Versailles〜)

2007/11/19 00:20

この前夜更かし記念に更新した日記。 午前4時・・・ その後近所に救急車が来た...

♪同じ風のなかで♪芝家とみんGOL

第三回芝カップ開催結果(♪同じ風のなかで♪芝家とみんGOL)

2007/11/18 23:38

平成十九年11月18日 芝カップ開催 コース・・グレートサファリ・18H・...

工楽布音(くらふと)な日々

愛車と夕日と初雪と(工楽布音(くらふと)な日々)

2007/11/18 23:13

久しぶりに洗車をしました。本当、久しぶりです。(笑) だからでしょうか、晴れて...


前のページ 1295 | 1296 | 1297 | 1298 | 1299 | 1300 | 1301 次のページ

初めての方 First Time

新規登録 Join Form

現在の登録件数:553件
(個人:356件、商店:197件)

ユーザー情報

ユーザーID
パスワード

パスワードを忘れた方はこちら

ユーザー情報

easy park
  • 【アート】

    第34回増田誠大賞公募展

  • 【アート】

    第31回増田誠大賞公募展

  • 【アート】

    第29回増田誠大賞公募展

  • もっと見る

テーマ一覧
  • 子育て

    子育て

  • 美味しいお店

    美味しいお店

  • 料理

    料理

  • スポーツ

    スポーツ

  • ペット

    ペット

  • 映画

    映画

  • 音楽

    音楽

  • 本

    本

  • イベント

    イベント

  • 美容

    美容

  • ファッション

    ファッション

  • お知らせ

    お知らせ

  • 相談

    相談

  • 俳句

    俳句

  • 学校

    学校

  • その他

    その他

お知らせ
  • 臨時メンテナンス終了のお知らせ
  • 臨時メンテナンスのお知らせ
  • 定期メンテナンス終了のお知らせ
  • 定期メンテナンスのお知らせ

もっと見る

ケータイからも easy my web Mobile

  • 日本ネットワークサービス
  • ケーブルテレビ
  • ケーブルインターネット
  • easy my webとは?
  • 初めての方
  • 新規登録
  • ヘルプ
  • 利用規約
  • プライバシーポリシー
  • 会社概要
  • お問い合わせ